Latest Posts
Sarah Rector: The “Richest Black Girl in America,” the Oklahoma Oil Boom, and a Life Lived Between Law, Race, and Fortune
The story of Sarah Rector is one of those American sagas that reads like a folk tale until...
Does Tylenol Really Cause Autism Like President Trump Claims?
Short answer No—current evidence does not show that Tylenol (acetaminophen) causes autism. The best-quality studies to date find...
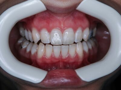
Wisdom Teeth: What Are They and Why Do They Get So Painful?
They arrive late, crowd the back of your mouth, and often stir up more drama than any other...
Italian vs French Cuisines: Similarities, Differences, and Rivalry!
Ask any food lover to name the world’s most influential cuisines and you’ll hear two names instantly: Italian...
Do Women Make Better Leaders? A Nuanced, Evidence-Backed Look
Every few months a headline reignites the debate: do women make better leaders? It’s a bold question with...
Loving Someone With Herpes: Facts, Risks, and How to Support Each Other
When your partner sits you down and tells you they have herpes, it’s natural to feel a swirl...
Is Leg-Lengthening Surgery Worth the Risk? What It Is, How It Works and Why It’s Not as Simple as Getting Taller
Leg-lengthening surgery has captured headlines for its ability to add inches to a person’s height, but the procedure...
Private vs. Public Healthcare Systems Explained: Which Serves Communities Better?
Debates about how societies should organise healthcare often revolve around a simple dichotomy: public versus private. At first...
How to Measure the Biological Impact of Racism: The Weathering Effect Explaine
In recent years, the phrase “weathering effect” has become a powerful shorthand for describing how chronic exposure to...
Why Mistrust in Vaccines Persists and How to Build Confidence
Vaccines are among the most effective tools in public health; they have eradicated smallpox, nearly eliminated polio, and...
How to Combat Bias in AI‑Powered Hiring Systems
In the past decade, the way companies find and select talent has been transformed by artificial intelligence. Instead...
Environmental Justice Explained: Why Polluted Neighborhoods Aren’t an Accident
Environmental justice, at first glance, may sound like one of a long list of progressive buzzwords devoid of...
Why Food Deserts Exist and How Nutritional Science Can Help
Food deserts—areas where residents have limited access to affordable and nutritious food—represent a pressing public health crisis. They...
Why Racial Bias Persists in Medical Algorithms and How to Fix It
Medical algorithms are machine learning or statistical models that ingest patient data—demographics, lab results, diagnoses—and output predictions or...
Is Race a Real Biological Concept?
Ask a biologist whether race is biologically real and you’ll hear a careful answer: human biological variation is...
The Second Amendment Explained: Why It Was Written, How Courts Interpret It, and What It Means Today
The Second Amendment to the United States Constitution is only one sentence long: “A well regulated Militia, being...
How Do Tariffs Work? Who Foots the Bill?
A tariff is a tax charged on imported goods when they cross a border. It sounds simple—charge a...
Preparing Your Child for a School Shooting: A Calm, Practical, Trauma-Informed Guide for Parents
Talking to kids about a school shooting is one of the hardest conversations a parent can imagine—and yet,...
G20 vs G7: What’s the Difference? The Complete, No-Confusion Guide
The G20 and the G7 sit at the center of global economic conversation, but they play very different...
Why Is American Education Falling Behind Other Developed Countries?
For generations, the United States treated schooling as its grand equalizer—the place where talent could outwork circumstance and...
Why Marriages No Longer Last Like They Used To
Ask a grandparent about marriage and you’ll hear stories of lifelong bonds, unbreakable vows, and communities that wrapped...
What Exactly Is the G20? How Does it Differ from the G7?
The G20 sits at the center of global economic coordination, yet most people only encounter it as a...
BRICS Explained: What It Is, Who’s In, and Why It Matters Now
Few acronyms stir as much curiosity—and confusion—as BRICS. What began as a catch-all label in an investment bank’s...
European Union vs. Schengen Zone vs. Eurozone: What’s the Difference?
Ask three people to define the European Union, the Schengen Zone, and the Eurozone, and you’ll likely hear...
What Did Jesus Look Like
Explore the historical Jesus: olive skin, dark hair, brown eyes. Uncover the truth beyond Western art through archaeology,...
Why Are White People Called Caucasians?
Explore the 18th-century origins of why white people are called Caucasians. Unpack the flawed racial science and history...
Why Is Switzerland Not in the European Union?
Discover why Switzerland, despite deep EU ties, remains outside the bloc. Explore its history, neutrality, sovereignty, and unique...
Can Non-European Countries Join the European Union?
Explore if non-European countries can join the EU. Learn about Article 49, geographic limits, and the political debate...
Why Is Islam Growing So Fast in the West?
Explore why Islam is rapidly growing in the West: demographics, migration, conversion, and cultural shifts. Understand the trends...
Can the UK Rejoin the European Union?
Explore the legal, political, and cultural challenges of the UK rejoining the EU. Is it possible after Brexit?...
Was Brexit a Failure? A Retrospective Look at the UK’s Dramatic Exit from the European Union
Explore whether Brexit succeeded or failed years after the UK's historic EU exit. Analysis covers economic impact, sovereignty,...
Is OnlyFans Bad for Society? A Deep Dive Into the Platform That Changed Sex, Money, and Culture
Explore the societal impact of OnlyFans: Is it empowering or exploitative? Dive into its history, economics, and cultural...
How Germany Became the Biggest Economy in Europe After World War II
Discover how Germany rose from WWII ruins to become Europe's economic powerhouse through resilience, smart policies, and international...
Why Doesn’t Germany Have Nuclear Weapons?
Explore why Germany, despite its economic and technological power, has no nuclear weapons. Learn about the historical, political,...
Is Anesthesia Dangerous? What You Should Know Before Going Under
Worried about anesthesia risks? Learn how modern anesthesia works, when it can be dangerous, and how to ensure...
Why Men Suffer from Baldness More Than Women: The Science, Myths, and Surprising Truths
Discover why men suffer from baldness more than women. Uncover the science, debunk myths, and learn surprising truths...
The 15 Most Dangerous Surgeries: What You Need to Know Before Going Under the Knife
Learn about the 15 most dangerous surgeries, including open-heart procedures. Understand risks, preparation tips, and how to discuss...
Why Some People Heal Faster Than Others
Discover why some people heal faster than others. Learn about the biology of healing, including inflammation control, sleep,...
The Pygmalion Effect: How Expectations Shape Reality
Discover how the Pygmalion Effect shapes behavior and outcomes through expectations. Learn to create supportive climates that foster...
Why We Remember Embarrassing Moments More Than Achievements
Discover why embarrassing moments stick in your mind more than successes. Learn the science behind memory and practical...
The Science of Overthinking: Why Your Brain Won’t Let Things Go
Discover why your brain gets stuck in overthinking loops and learn science-backed strategies to break free from rumination...
Emotional Contagion: How We Catch Feelings from Other People
Discover how emotional contagion shapes your mood. Learn to recognize, manage, and harness this social phenomenon to improve...
The Mind’s Blind Spot: Why You Miss What’s Right in Front of You
Discover inattentional blindness: why your brain misses what's right in front of you. Explore the psychology behind everyday...
How Silence Can Be More Persuasive Than Words
Discover how strategic silence can persuade, unsettle, and win arguments without words. Learn the psychology behind this powerful...
The IKEA Effect: Why You Love Things More When You Build Them Yourself
Discover the IKEA Effect: why you value self-built items more, even with flaws. Learn the psychology behind this...
The Moon Illusion: Why the Moon Looks Bigger on the Horizon — But Isn’t
Discover why the moon appears larger on the horizon—a fascinating optical illusion explained by neuroscience and psychology. Unlock...
The Earth’s Mysterious Hum: The Unexplained Sound Heard Around the World
Explore the mysterious global Hum phenomenon: an unexplained low-frequency sound heard by people worldwide. Learn its history, theories,...
The War Fought Over a Pig: The U.S.–British Standoff That Nearly Turned Into War
Discover the absurd 1859 Pig War: a U.S.-British standoff over a pig that nearly sparked war. Learn how...
The Ancient City That Sank Without a Trace: The Mystery of Thonis-Heracleion
Discover the lost city of Thonis-Heracleion, submerged for 1,200 years. Explore its rediscovery, ancient grandeur, and the mystery...
The Female Pope: Was There Really a Woman Who Led the Catholic Church?
Explore the legend of Pope Joan: a woman who allegedly disguised herself as a man and became pope...
